BP RO Skintumours 2019 2022 01

Doi:
Year: 2024

Description

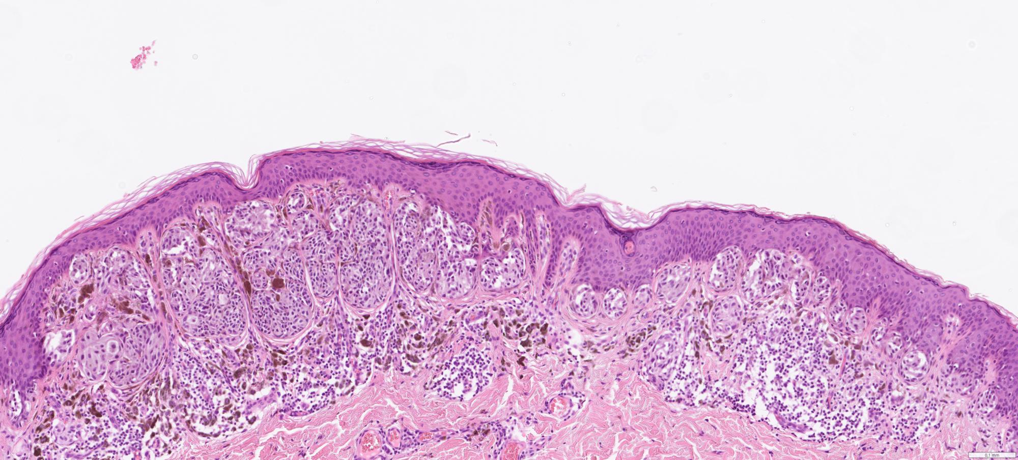
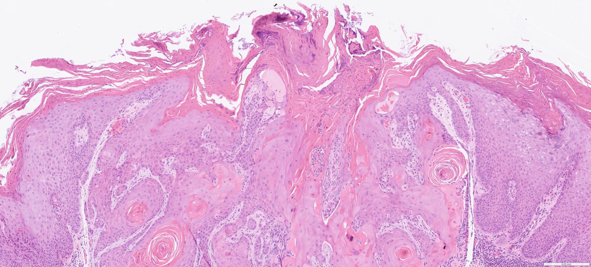
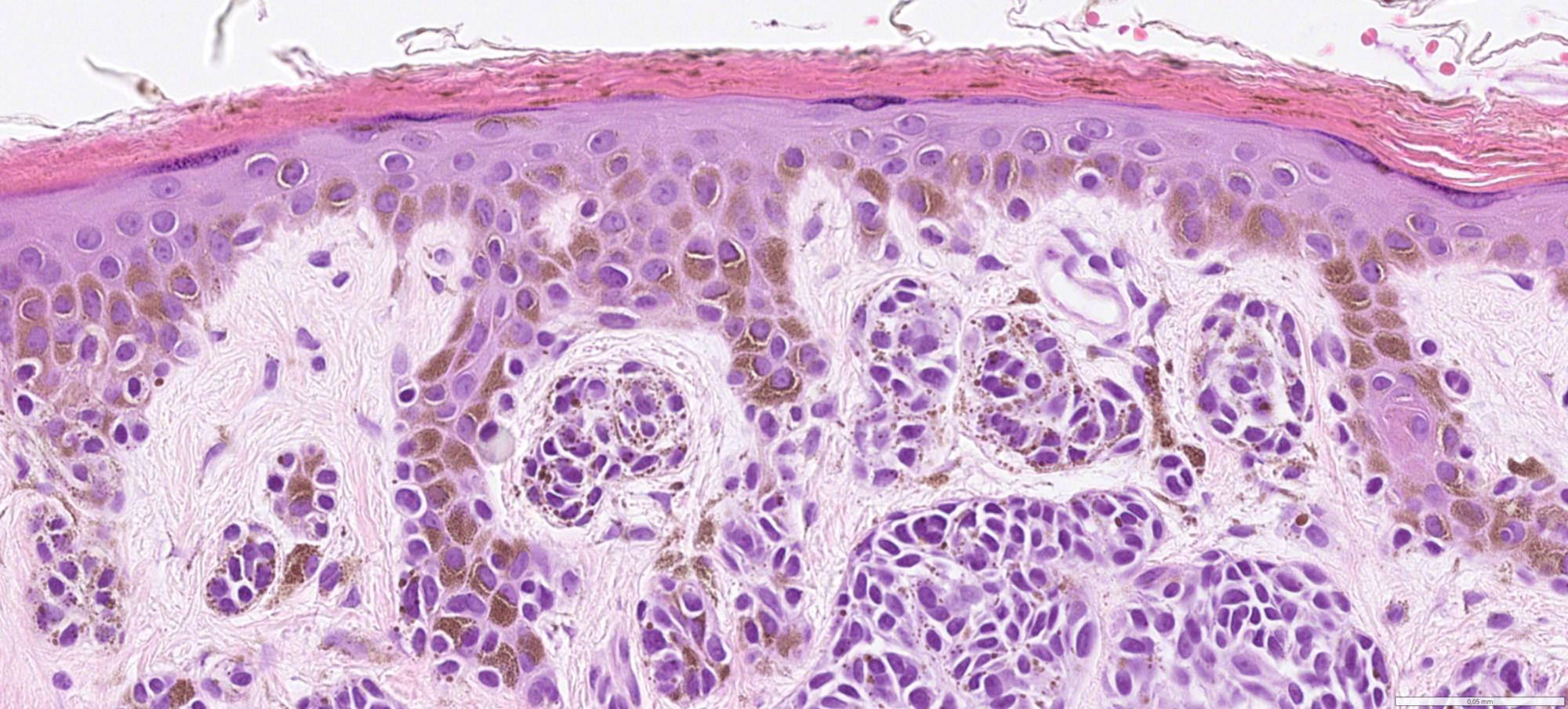
Whole slide pathology images from excision specimens of skin lesions diagnosed at the Department of Pathology at Clinical Department of Pathology at Linkopings University hospital. The dataset contains over 6000 WSIs from from xx excised and punsch biopsies representing a varity of diagnosis categoriesed as malignant melanoma, basal cell carcinom, squamous cell carcinoma and benign diagnosis (eg including melanocytic nevus).

Dataset Overview

Title BP RO Skintumours 2019 2022 01
Short name BP_ROSkin01
Age at extraction

P18Y

P16Y

Anatomical site

Skin structure (body structure)

Animal species

Homo sapiens

Specimen types

Histopathology

Image type

Brightfield

Extraction method

Incision biopsy of skin (procedure)

Excision

Scraping

Excision (procedure)

Punch biopsy of skin (procedure)

Scraping (procedure)

Shave biopsy of skin (procedure)

Image resolution
Type of access Direct access
Staining

Periodic acid Schiff stain method (procedure)

Iron stain method, blood or bone marrow (procedure)

Verhoeff-Van Gieson stain method (procedure)

Congo red stain method (procedure)

hematoxylin stain,antibody

Hematoxylin and eosin stain method (procedure)

Fontana Masson silver stain method (procedure)

antibody,hematoxylin stain

Cite as
Keywords

Histopathology

malignant melanoma

basal cell carcinom

squamous cell carcinoma

benign

Year 2024
DOI
Version 1.0.1
Number of WSIs 6210
Number of cases 2460
Number of biological beings 2460
Annotations 0
Size 5954934727600
Access approval process Controlled Access
Duration of use Limited to the IMI Bigpicture project term
Center name Region Östergotland
Metadata standard version 2.0.0

Terms of use

Allowed uses

Implementation of Bigpicture Project (IMI2-945358)

Allowed geographical distribution European Union and EEA countries
Geographical areas

Sweden

Policy & Terms of Use

DISSCLAIMER:
The use and sharing of Bigpicture data is dictated by the Bigpicture Data Sharing Agreement. The Policy Text comprises a concise overview thereof, however, only the official and formally signed contractual documents (i.e. the Data Sharing Agreement, the Data Processing Agreement, the Consortium Agreement, and the Grant Agreement) related to Bigpicture Data Sharing and Processing have a binding value.


Summary of relevant clauses for Data Users


This document serves as an overview of the relevant clauses and sections of clauses for Data Users, and is for reference purposes only. In case of doubt about the contents of the clauses, the original text of the DSA always takes precedence over this summary. The full text of the relevant clauses is also included in this document.


Clause 2. [Definitions]
‘Data User’ means any Beneficiary whose Employees are exercising the Access Rights to certain Data in accordance with the terms set out in this Agreement and defined by the Data Contributor in the ToU. For the avoidance of doubt, Data Users may include employees of Affiliated Entities and Linked Third Parties, Sub-Contractors, to the extent that those entities enjoy the rights and obligations under this Agreement. In next phases of the Project, Data Users will also include Slide Contributing Third Parties and finally Third Parties.


Clause 3. [Contribution of the Data]
Data Contributors and Data Users shall sign the Hosting and Processing Agreement with Hosting Beneficiaries as set forth in EXHIBIT 4.


Clause 5. Data Access
Clause 5 outlines the terms and conditions for Data Access. Beneficiaries (as potential Data Users) can request access to specific datasets by following the Terms of Use set by the Data Contributor, in line with the Consortium Agreement and data protection laws. To apply, they must submit a request through the REMS portal, providing necessary details such as the dataset, data users, employees, and the research purpose.
If the requesting party is in a non-European Economic Area country without an EU adequacy decision, a data transfer agreement must be signed to meet cross-border data transfer obligations, such as the Standard Contractual Clauses issued by the European Commission or comply with another compliant cross-border data transfer mechanism. A Transfer Impact Assessment may also be required.


Clause 6. [Obligations of the Data Users]
Clause 6 outlines the obligations of the Data Users. They must ensure that its Employees use the Data only for the agreed purpose, as specified in the Data Access request, and in compliance with the relevant agreements and legislation. The Data must not be processed in ways incompatible with its original purpose. The Data Contributor retains the right to use their Data for their own purposes if they are the Data Controller or have a legal right to do so.


Each Data User processing Data must:
- Comply with                     applicable Data Protection Legislation.
- Act proportionately to the research aim when acting as a Controller.
- Follow         recognized ethical standards for scientific research.
- Adhere to    the conditions and restrictions set by the Data Contributor in the   Terms of Use.


Specific obligations for Data Users include:
- Implement guidelines and procedures to ensure Employee compliance with the                       DSA, ToU, and Data Protection Legislation.
- Ensure         Employees treat all Data as confidential unless otherwise indicated                       and comply with data transfer rules for countries outside the                       EU/EEA.
- Ensure         authorised third parties process Data only according to                       instructions.
-  Access and                       process Data only as necessary for the Project or approved Research       Use.
- Notify the   Data Contributor of any errors in the Data or security breaches                       without undue delay.
- Accept that                       Data access may be interrupted or suspended for maintenance or security reasons.
- Accept         updates to Data and remove earlier versions if reissued due to Data Subject requests.
- Implement security measures to protect Data downloaded from the Bigpicture                       Platform.
- Delete Data                      upon a justified request from the Data Contributor.


When accessing Personal Data:
- For Research                    Use, the Data User will be considered a Controller unless stated otherwise in EXHIBIT 2 or agreed in writing between the concerned          Data Contributor and Data User in a separate agreement.
- For              Implementation of Action, roles are outlined in EXHIBIT 2.


Clause 10. [Data Protection Impact Assessment (DPIA)]
Clause 10 outlines the obligations for Beneficiaries regarding the execution of a DPIA. Data Users must ensure they access Personal Data only if a DPIA is not required or if a DPIA has been completed and its conclusions permit the planned use. The Data Contributor or its Data Access Committee (DAC) can request the DPIA from the Data User before granting access to the data.


Clause 11. [Non-transferability]
Data Users (except where Data User is the Beneficiary which contributed the relevant Data) must ensure that neither they nor their Employees transfer or disclose the Data or any material to any third party, including other Employees, unless:
a) Permitted under the DSA,
b) A separate Data Access request has been filed and approved by the relevant Data Contributor, or
c) Permitted under the provisions on the rights of the Affiliated Entities, Linked Third Parties and Sub-Contractors in the Consortium Agreement and the DSA.


Clause 15. [Term and termination]
Clause 15 outlines, insofar as relevant to the Data Users, the consequences of termination or expiration of the DSA.
a) Upon termination or expiration of the DSA, all Beneficiaries must stop processing the relevant Data. However, if a Beneficiary started processing Data for research before termination, they can continue until completion, unless the termination is due to specific listed reasons or the withdrawal of necessary authorizations.
b) Access Rights to the Data will be immediately revoked for Data Users and their Employees whose participation is terminated.
c) All Data Users and their Employees must securely delete the Data they received via the Bigpicture Platform and remove any existing copies, unless permitted otherwise by the Data Contributor or applicable law.
d) Data Users must confirm the Data erasure or provide reasons for retention if requested by the Data Contributor.




EXHIBIT 4: Hosting and Processing Agreement
Agreement to be signed between Data Contributors/Data Users and Hosting Beneficiaries, whereby the Data Contributors and Data Users act as (or on behalf of) Controllers and Hosting Beneficiaries (CSC and UU) act as Processors.